
The CAD Workhorse
for Digital Dentistry
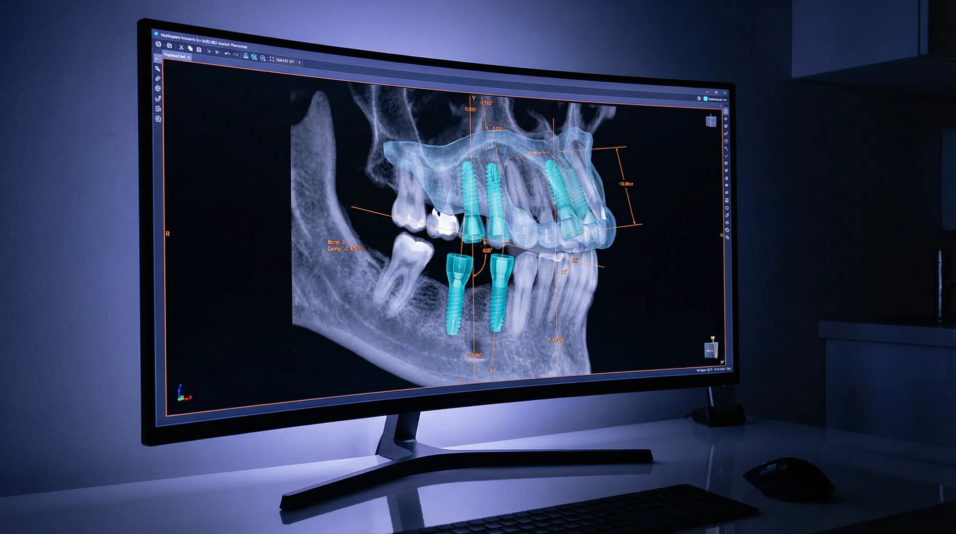
From razor-sharp treatment planning to airtight workflows. Complete control over the design phase — surgical guides, dental prosthetics, and orthodontic aligners. Delivered to your practice or 3D printed in-house.
Tap into the Power of Digital Dentistry
Whether you're a clinician or a dental lab, DentSelect delivers prosthetically-driven design that's back-engineered for predictable outcomes. Save on training costs, reduce turnaround time, and scale your digital capabilities.
Drive Up Case Acceptance
3D renderings and simulations help patients visualize outcomes, boosting case acceptance rates significantly.
Boost Confidence
A trusted second opinion from experienced digital dentists gives you the confidence to take on complex cases.
Optimize Efficiency
Minimize downtime with streamlined digital workflows that keep your practice running at peak performance.
Cut Costs & Waste
Reduce physical mock-ups and remakes with precise digital planning that gets it right the first time.
Seamless Integration
Bridges your existing digital ecosystem — compatible with virtually all implant systems and scanners.
AI-Driven Precision
Accelerate treatment planning with intelligent design tools that enhance accuracy and speed.
Services

Go Beyond Digitally
Guided Surgery
DentSelect is not limited to CAD/CAM surgical guides and stackable systems. Our treatment planning and design services extend to photogrammetry, full-arch rehabilitation, and comprehensive digital workflows.

Ready to Transform
Your Digital Workflow?
Join dental offices and labs that trust DentSelect for precision-driven design and seamless digital integration.